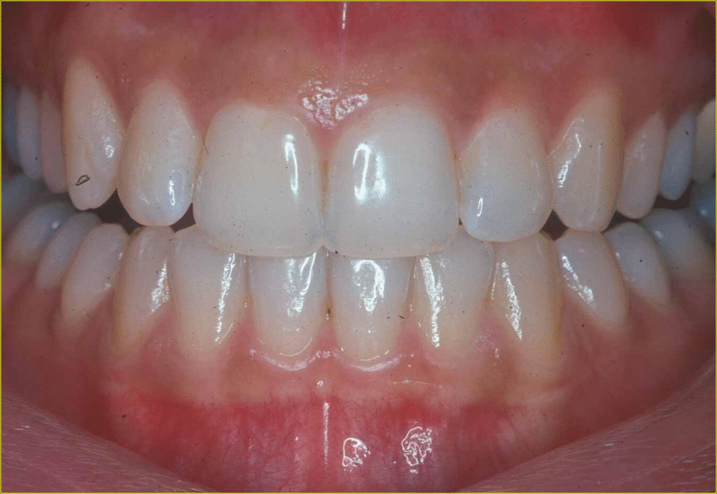
Regular dental cleanings are one of the most important steps in maintaining oral health. At AbuMaizar Dental Center, our professional hygiene and periodontal care services — including scaling and root planing — remove plaque, tartar, and harmful bacteria to prevent gum disease and tooth loss.
What Is Dental Cleaning (Scaling and Root Planing (SRP))?


Dental cleaning, also known as scaling and polishing, is a preventive procedure performed by a dentist or dental hygienist to remove soft and hard deposits from your teeth.
When deeper cleaning is needed, root planing is performed. This is a therapeutic procedure that smooths the root surfaces of the teeth to eliminate bacteria and promote gum healing.
Together, scaling and root planing are often referred to as deep cleaning or non-surgical periodontal therapy.
Why You Might Need Dental Cleaning

Over time, plaque — a sticky film of bacteria — hardens into tartar (calculus) that cannot be removed by brushing alone. This buildup irritates the gums and can lead to:
- Gingivitis (gum inflammation and bleeding)
- Periodontitis (advanced gum disease causing bone loss)
- Persistent bad breath
- Tooth mobility or loss
- Stains and discoloration
Even if your teeth feel clean, professional scaling every 6 months is essential to prevent these complications.
Types of Dental Cleaning
1. Routine Cleaning (Prophylaxis)
- Recommended every 6 months for most patients.
- Removes plaque, tartar, and stains from above the gumline.
- Polishing leaves the teeth smooth and bright.
2. Deep Cleaning (Scaling & Root Planing)
- Performed when gum pockets are deeper than 3 mm.
- Scaling: Removes deposits from tooth surfaces and beneath the gums.
- Root planing: Smooths root surfaces to promote reattachment of healthy gum tissue.
- May be done under local anesthesia for comfort.
Benefits of Professional Cleaning

- Prevents gum disease and tooth decay
- Reduces inflammation and bleeding
- Eliminates bad breath
- Enhances appearance by removing stains
- Supports overall health — studies link gum health to heart and systemic health
- Helps maintain dental restorations and implants
What to Expect During the Procedure
- Examination: The dentist evaluates your gums, bone levels, and plaque buildup using X-rays or a periodontal probe.
- Scaling: Ultrasonic and manual instruments remove tartar and biofilm from teeth and root surfaces.
- Root Planing (if needed): The roots are gently smoothed to prevent bacterial recolonization.
- Polishing and Fluoride: Teeth are polished, and fluoride may be applied for added enamel protection.
- Oral Hygiene Instruction: Personalized brushing and flossing techniques are reviewed to help maintain results.
Aftercare Tips
- Avoid eating or drinking for 30 minutes after fluoride treatment.
- Brush twice daily with a soft-bristle toothbrush.
- Floss carefully and use an antibacterial mouth rinse.
- Schedule regular dental visits every 6 months, or more frequently if you have gum disease.
- Temporary sensitivity is normal and usually subsides within a few days.
Is Dental Cleaning Worth It?
Absolutely. Preventive care is the foundation of lifelong oral health. Professional cleanings not only keep your smile bright but also protect against gum disease, tooth loss, and costly future treatments.
Common Questions
🦠 Is scaling painful?
Modern ultrasonic tools and gentle techniques make scaling comfortable. Local anesthesia can be used for sensitive areas.
⏱ How long does it take?
Routine cleaning takes about 30–45 minutes. Deep cleaning may require two visits.
🧬 Can I do cleaning at home instead?
Regular brushing and flossing are essential but cannot remove hardened tartar. Only a professional dental cleaning can achieve that.

